What Do You Mean By Carcinoma In Situ - Cervical Carcinoma In Situ Causes Symptoms Diagnosis - • about 37 percent of breast cancers diagnosed will be carcinomas in.
Dapatkan link
Facebook
X
Pinterest
Email
Aplikasi Lainnya
What Do You Mean By Carcinoma In Situ - Cervical Carcinoma In Situ Causes Symptoms Diagnosis - • about 37 percent of breast cancers diagnosed will be carcinomas in.. But having lcis increases your risk of breast cancer and makes it more likely that you may develop invasive breast cancer. What is carcinoma in situ and what does it mean? An excisional biopsy is usually necessary for lobular carcinoma in situ, atypical lobular neoplasia and lobular neoplasia when there is an associated synchronous breast mass lesion. The earliest stages of cancers are called carcinoma in situ. carcinoma means cancer and in situ. Lcis or 'in situ', means that the cancer is still contained in the lobular lining and has not yet infiltrated into the lobule itself.
Cervical carcinoma in situ means that the cells are cancerous, and that they have not moved out of the location from where they originated. so literally, carcinoma in situ is a cancer that's still in its original place — and is at its most curable form. Only when a doctor diagnosis the patient as having physical limitations when disability is then available to. Carcinoma in situ is the term for a small, localized carcinoma that has not invaded through the epithelial basement membrane restricting the carcinomatous cells from adjacent normal cells. Carcinoma in situ, according to nci dictionary of cancer terms > a group of abnormal cells that remain in the place where they first that doesn't necessarily mean it's ok in that a benign tumor could expand and become an issue their location is vastly important in that a benign. Easy dentistry by dr pranali satpute.
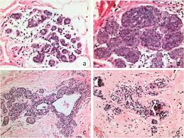
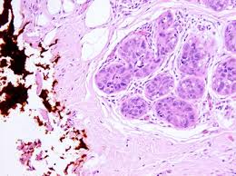
Invasive Carcinoma Of No Special Type Wikipedia from upload.wikimedia.org Carcinoma in situ is the term for a small, localized carcinoma that has not invaded through the epithelial basement membrane restricting the carcinomatous cells from adjacent normal cells. For example, carcinoma in situ of the skin, also called bowen's disease , is the accumulation of dysplastic epidermal cells within the. Bowen disease, which is also known as squamous cell carcinoma in situ, typically arises as a result of sun exposure. Ductal carcinoma in situ is very early cancer that is highly treatable, but if it's left untreated or undetected, it may spread into the surrounding breast tissue. Dcis (ductal carcinoma in situ) is noninvasive in nature which means that the disorder did not spread out or affected other parts of the body. While they are a form of neoplasm, there is disagreement over whether cis should be classified as cancer. Lobular carcinoma in situ, the other preinvasive disease. The term in situ means in place. cis is noninvasive because it hasn't spread to surrounding breast tissue or other areas of the body.
However, it increases the risk of cancer developing, so doctors usually recommend treatment.
Disability benefits for ductal carcinoma in situ solely depends on the severity and classification of the carcinoma. A diagnosis of carcinoma in situ does not mean a person has cancer, nor does it mean they will have cancer in the future. Dcis usually has no symptoms. What is carcinoma in situ and what does it mean? A type of cancer in which the epithelial cells of the kidney grow uncontrollably. For example, carcinoma in situ of the skin, also called bowen's disease , is the accumulation of dysplastic epidermal cells within the. Most of the time, it's diagnosed by a mammogram. Only when a doctor diagnosis the patient as having physical limitations when disability is then available to. These cells have not yet spread into the surrounding normal breast tissue and cannot spread elsewhere in the body. Ductal means that the cancer starts inside the milk ducts, carcinoma refers to any cancer that begins in the skin or other tissues (including breast tissue) that cover or line the internal organs, and in situ means in its original place. While they are a form of neoplasm, there is disagreement over whether cis should be classified as cancer. Carcinoma in situ (cis) is a group of abnormal cells. It's more of a precancer, or preinvasive lesion.
Dcis (ductal carcinoma in situ) is noninvasive in nature which means that the disorder did not spread out or affected other parts of the body. It's more of a precancer, or preinvasive lesion. Dcis (ductal carcinoma in situ) can be considered as the initial stage of breast cancer. The phrase in situ means in its original place. what are the symptoms of ductal carcinoma in situ? Carcinoma in situ almost always continues.
Https Encrypted Tbn0 Gstatic Com Images Q Tbn And9gcs Teqfynnqnocfee7lorxoezxm5igw4bt7sitqgydtjy9cx Ca Usqp Cau from For example, carcinoma in situ of the skin, also called bowen's disease , is the accumulation of dysplastic epidermal cells within the. But having lcis increases your risk of breast cancer and makes it more likely that you may develop invasive breast cancer. An abnormal growth of cells can arise in the breast lobules or in the breast ducts. Carcinoma in situ (cis) is a group of abnormal cells. Carcinoma in situ is the term for a small, localized carcinoma that has not invaded through the epithelial basement membrane restricting the carcinomatous cells from adjacent normal cells. An excisional biopsy is usually necessary for lobular carcinoma in situ, atypical lobular neoplasia and lobular neoplasia when there is an associated synchronous breast mass lesion. Therefore, the most common areas of the skin affected by bowen. The phrase in situ means in its original place. what are the symptoms of ductal carcinoma in situ?
Ductal carcinoma in situ is a very early and highly curable form of breast cancer in which abnormal cells are still in the process of evolving into it means that more breast cancers are being detected early, while they can be nipped in the bud.
Definitions for carcinoma in situ car·ci·no·ma in si·tu. Lcis or 'in situ', means that the cancer is still contained in the lobular lining and has not yet infiltrated into the lobule itself. Therefore, the most common areas of the skin affected by bowen. The earliest stages of cancers are called carcinoma in situ. carcinoma means cancer and in situ. Lobular carcinoma in situ, the other preinvasive disease. • about 37 percent of breast cancers diagnosed will be carcinomas in. The term carcinoma in situ is a term used to define and describe a cancer that is only present in the cells where it started and has not spread to any nearby tissues. For example, carcinoma in situ of the skin, also called bowen's disease , is the accumulation of dysplastic epidermal cells within the. A diagnosis of carcinoma in situ does not mean a person has cancer, nor does it mean they will have cancer in the future. Ductal carcinoma in situ is a very early and highly curable form of breast cancer in which abnormal cells are still in the process of evolving into it means that more breast cancers are being detected early, while they can be nipped in the bud. Carcinoma in situ ( cis ) is a group of abnormal cells. Disability benefits for ductal carcinoma in situ solely depends on the severity and classification of the carcinoma. Carcinoma in situ almost always continues.
Lcis or 'in situ', means that the cancer is still contained in the lobular lining and has not yet infiltrated into the lobule itself. Carcinoma in situ stage, microscopic appearance, and ability to spread. This controversy also depends on the exact cis in question (i.e. The phrase in situ means in its original place. what are the symptoms of ductal carcinoma in situ? Here are all the possible meanings and translations of the word carcinoma in situ.
What Is Breast Cancer Cdc from www.cdc.gov For example, carcinoma in situ of the skin, also called bowen's disease , is the accumulation of dysplastic epidermal cells within the. An abnormal growth of cells can arise in the breast lobules or in the breast ducts. Information and translations of carcinoma in situ in the most comprehensive dictionary definitions resource on the web. Dcis usually has no symptoms. Disability benefits for ductal carcinoma in situ solely depends on the severity and classification of the carcinoma. However, it increases the risk of cancer developing, so doctors usually recommend treatment. Carcinoma in situ ( cis ) is a group of abnormal cells. Therefore, the most common areas of the skin affected by bowen.
Lcis or 'in situ', means that the cancer is still contained in the lobular lining and has not yet infiltrated into the lobule itself.
If lcis is detected in a breast biopsy, it doesn't mean that you have cancer. Carcinoma in situ stage, microscopic appearance, and ability to spread. What is carcinoma in situ and what does it mean? What does the term, in situ mean? An abnormal growth of cells can arise in the breast lobules or in the breast ducts. Bladder flat carcinoma in situ. Information and translations of carcinoma in situ in the most comprehensive dictionary definitions resource on the web. However, it increases the risk of cancer developing, so doctors usually recommend treatment. Dcis refers to abnormal cells that are confined to the milk ducts. The term carcinoma in situ is a term used to define and describe a cancer that is only present in the cells where it started and has not spread to any nearby tissues. While they are a form of neoplasm , there is disagreement over whether cis should be classified as cancer. This controversy also depends on the exact cis in question (i.e. The term in situ means in place. cis is noninvasive because it hasn't spread to surrounding breast tissue or other areas of the body.
How To Tell If Your Cat Has Mouth Cancer - How can I tell if my cat has toothache? - Wikipet : Additionally, if your cat has recently undergone a surgery or dental procedure, your vet will have provided you with discharge instructions and if there is, ask what options there are for treating the pain. . Stinky breath a foul odor coming from your kitty's mouth can mean gum disease or tooth decay. If you can easily feel your cat's bones while petting her intestinal parasites are the thing every cat owner needs to deal with at least once in their lives, and learning how to tell if a cat has worms will make. With a biopsy the pathologist can usually tell us the type of cancer. Your first worry may be that it's cancer. 3 doctor answers • 7 doctors weighed in. So, you will have to decide what works best with your cat. Notice a mass growing in their cat's mouth? The color of the skin in your cat's mouth and on his gums tells an important story. Vomiti...
Cancer Council Bridge Walk / Acton Bridge cancer survivor's 155-mile walk in aid of ... - For information and registration packets call kim … . $50 can help us answer a cancer council 13 11 20 call, to provide free and confidential information and support on all aspects of cancer. Cancer council's 7 bridges walk has gone virtual! Gather your friends and family and join the fun and help fight any type of cancer. For information and registration packets call kim … The north sydney section of the event will start from berry creek, smoothey park in wollstonecraft and finish at the harbour bridge stairs (burton street) where walkers may To participate in the event, register online prior to the event day. The event is a great way to see sydney, benefit your health, join in a great community activity, and raise money for cancer council. It was such a beautiful day and event! Livingwell cancer resource center's bridge walk kicks off may 21. Treatment side effec...
Komentar
Posting Komentar